Cassandra Lite

  • Category: Desktop application
  • Date: Sep 2006 - Jul 2007
  • Associated with: University of Informatic Sciences (UCI)
  • Role performed: Full-Stack developer. Interface design, image processing and code merge
  • Technologies:
  • C++ .NET Framework Visual Studio DCMTK

Description

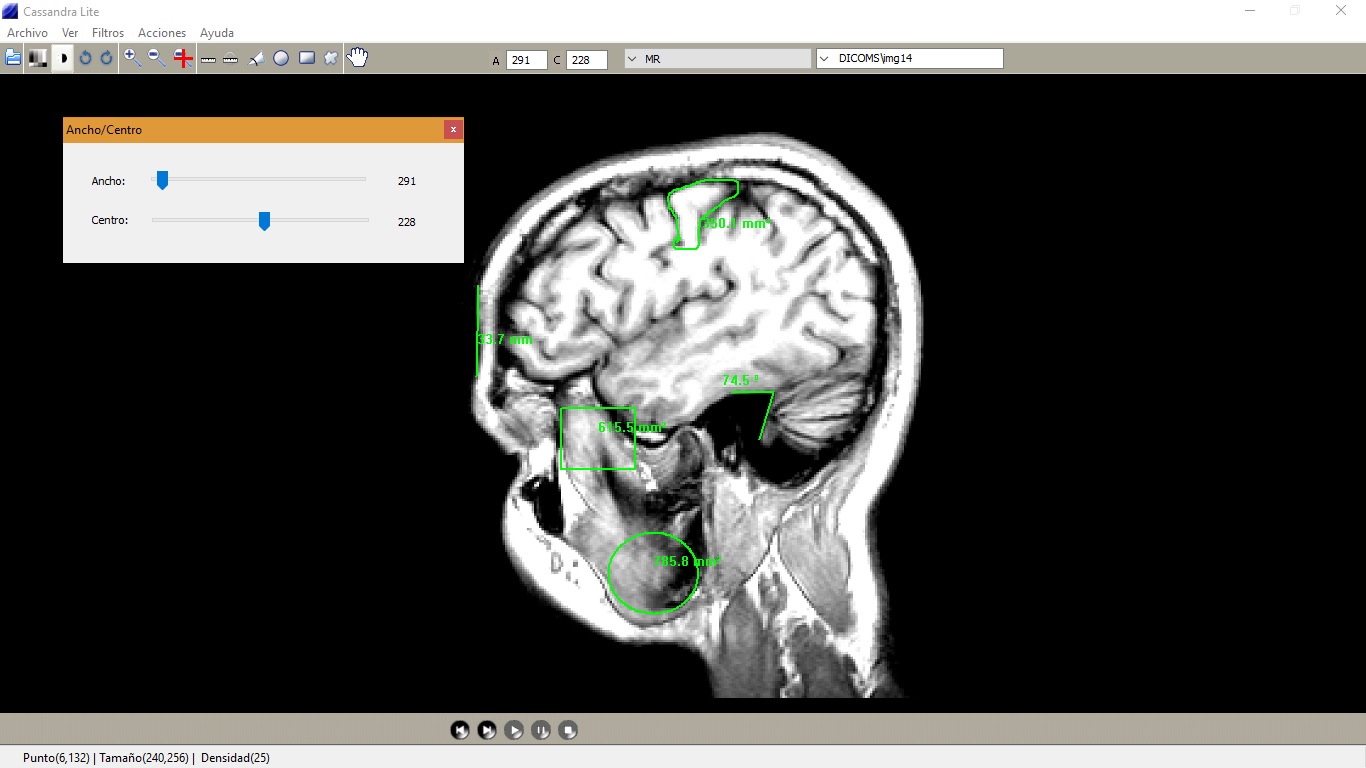
  • Lightweight viewer of medical images, is a portable application that is placed together with the images of the imaging study on a CD or DVD that is given to the patient. It allows quickly viewing of images in DICOM format in stations that do not have the Cassandra PACS system viewer. It also allows you to perform some common operations such as measurements, application of filters and palettes on the images. Developed using C++ .NET, the MFC libraries and the DCMTK library for reading DICOM images.
  • Note: This is the first version of the portable viewer for the Cassandra PACS system, this system changed its name to Alas PACS and is currently known as XAVIA PACS-RIS.